Пневмония COVID-19 и ТЭЛА

Фото носит иллюстративный характер. Из открытых источников.
Врачи, которые занимаются лечением пациентов с COVID-19, сталкиваются с серьезными проблемами. Одна из них — высокая распространенность тромботических осложнений. Потенциальными факторами риска тромбоза у пациентов в критическом состоянии считаются острый инфекционный процесс, постельный режим, дыхательная недостаточность, искусственная вентиляция легких, эндотелиальная дисфункция, катетеризация центральных вен, а также избыточный вес.

Возникновение тромбоза в системе легочной артерии (in situ) — частое следствие клинического прогрессирования коронавирусной инфекции.
Хотя даже в случаях сравнительно легкого (не требующего интенсивной терапии) течения вирусной инфекции существует высокая вероятность развития венозной тромбоэмболии (ВТЭ).
Чем вызван всплеск тромбозов?
Недавние сообщения, основанные на результатах компьютерной томографической ангиопульмонографии (КТА), свидетельствуют о большой (22–30 %) частоте тромбоэмболии легочной артерии (ТЭЛА) у стационарных пациентов с пневмонией COVID-19.
Локальное тромбообразование и микроангиопатия в системе легочной артерии, равно как и в сосудах других органов, является отличительной чертой тяжелой формы COVID-19.
До сих пор не определены истинные причины (триггеры) столь значительного всплеска венозных и артериальных тромбозов у пациентов с COVID-19. Связано это с прямым повреждающим действием вируса SARS-CoV-2 на эндотелий сосудов либо является следствием опосредованного влияния цитокинового шторма, пока остается загадкой.
Нужен ли ультрасонографический скрининг тромбоза глубоких вен?
Часть амбулаторных пациентов с лихорадкой и респираторными симптомами COVID-19 в момент госпитализации уже имеет тромботические осложнения. Именно по этой причине в ряде зарубежных стационаров рассматривается возможность проведения рутинного ультрасонографического скрининга тромбоза глубоких вен (ТГВ) у всех пациентов с COVID-19. Широкое внедрение подобного подхода маловероятно, по меньшей мере без проведения предварительного анализа его экономической целесообразности. Однако в любом случае скрининг венозных тромбоэмболических осложнений, основанный только на ультразвуковом исследовании вен нижних конечностей, не позволит диагностировать так называемый изолированный тромбоз легочной артерии, т. е. ТЭЛА без ТГВ.
Кто в группе риска?
Предполагается, что коморбидные пациенты, принимающие статины, в меньшей степени подвержены развитию ТЭЛА, в то время как в группу наибольшего риска входят инфицированные COVID-19 с высокими значениями D-димеров и маркеров воспаления — C-реактивного белка, ферритина, ИЛ-6.
Протромботический статус может сохраняться в течение длительного периода и быть причиной поздних тромбоэмболических событий.
Что скрывается под маской вирусной пневмонии?
Зарубежные публикации свидетельствуют о том, что пациенты (преимущественно мужского пола) с COVID-19 и сопутствующей ТЭЛА чаще нуждаются в интенсивной терапии, бóльшей кислородной поддержке (без интубации) или ИВЛ, при этом клиническая симптоматика легочной эмболии, как правило, «отстает» от КТА-картины или маскируется проявлениями вирусной пневмонии.
Для оценки состояния легочной паренхимы и выявления осложнений, угрожающих респираторным дистресс-синдромом, авторы статьи рекомендуют проводить КТА всем пациентам с тяжелым течением COVID-19 и лабораторными признаками коагулопатии.
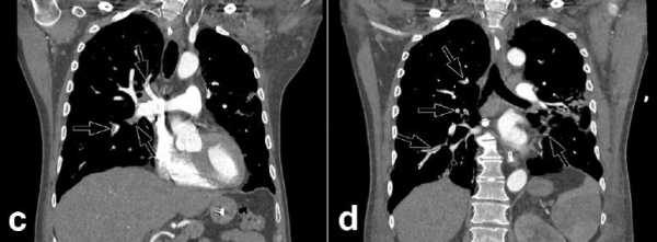
КТА легких 68-летнего мужчины. Исследование проведено через 10 суток с момента возникновения симптомов COVID-19 и в день перевода пациента в отделение интенсивной терапии.
На снимках a и b (аксиальная проекция) стрелками обозначены периферические затемнения по типу матового стекла с участками уплотнения легочной ткани. Объем поражения легочной паренхимы оценивается в пределах 25–50 %. На снимках c и d (фронтальная проекция) определяется билатеральная долевая и сегментарная ТЭЛА.
Что важно знать о профилактике?
По данным ретроспективного когортного исследования, фармакологическая тромбопрофилактика у тяжелых пациентов с подтвержденной пневмонией COVID-19 приводит к снижению количества летальных исходов и тромботических осложнений.
Согласно рекомендациям Международного общества тромбоза и гемостаза (ISTH), назначение профилактической дозы низкомолекулярного гепарина (НМГ) следует рассматривать у всех госпитализированных пациентов с COVID-19, в т. ч. не нуждающихся в интенсивной терапии. Пациентам с морбидным ожирением рекомендуется удвоенная доза НМГ (80–100 мг/сутки эноксапарина вместо обычных 40 мг) под контролем анти-Ха активности. Временное руководство Итальянского общества тромбоза и гемостаза (SISET) предлагает амбулаторную гепаринопрофилактику на протяжении 7–14 суток после выписки из стационара или, наоборот, на догоспитальном этапе у лиц с факторами риска ВТЭ — низкой двигательной активностью, ИМТ > 30 кг/м2, ВТЭ в анамнезе, активным опухолевым процессом и др.
Как выбрать оптимальный антикоагулянт?
В остром периоде ТЭЛА стабильные стационарные пациенты нуждаются в парентеральной терапевтической антикоагуляции, при этом более предпочтительным вариантом лечения являются НМГ, обладающие противовоспалительной активностью. После выписки из стационара для профилактики рецидива ВТЭ целесообразно перейти на прием прямых оральных антикоагулянтов (ПОАК). Этот шаг обусловлен удобством их применения и большей приверженностью пациентов к лечению, поскольку принимать ПОАК в данном случае придется на протяжении 6 месяцев. У тех, кто получает противовирусную терапию (лопинавир, ритонавир, дарунавир), к назначению ПОАК следует подходить с особой осторожностью.
Если существует потребность в продленной (более 6 месяцев) профилактике ВТЭ, например при активном раке, неспровоцированном эпизоде ТЭЛА, то в качестве препарата выбора рассматривается ривароксабан. В остром периоде заболевания и до элиминации вируса из организма не следует применять варфарин.
Многие вопросы, касающиеся своевременной диагностики и правильного ведения пациентов с COVID-19-ассоциированной ТЭЛА, пока остаются открытыми. В период неопределенности может быть полезна любая информация, почерпнутая из реальной врачебной практики, ретроспективных и обсервационных исследований.
Источник: medvestnik.by
Comments are closed.