Острый ишемический инсульт у подростка: опыт комбинированного внутрисосудистого тромболизиса

Фото носит иллюстративный характер. Из открытых источников.
Инсульт занимает второе место среди причин смертности в мире (11,9 %). Еще в 2004 году ВОЗ объявила инсульт глобальной эпидемией: заболевание уносит более чем 6,2 млн человеческих жизней в год, а более 50 млн выживших после инсульта имеют ту или иную форму инвалидности. По опубликованным в 2015 году данным международного проекта по изучению глобального бремени заболеваний, ежегодно регистрируется 10,3 млн случаев инсульта, из которых 6,5 млн заканчиваются смертью.
В последние десятилетия для выражения бремени инсульта также широко используется показатель преждевременно утраченных лет полноценной жизни, который в мировом масштабе составляет 113 млн лет. Обзор научных статей мировых баз данных свидетельствует о тенденции к росту заболеваемости инсультом у пациентов детского возраста: в настоящее время заболеваемость составляет 2–3 случая на 100 тысяч детей в год.
Представляем вашему вниманию клинический случай проведения реперфузии головного мозга комбинированным способом в пределах терапевтического окна для пациентки подросткового возраста.
Начало заболевания. Анамнез.
Пациентка М. П., 15 лет, доставлена бригадой скорой медицинской помощи в приемное отделение Минского НПЦ хирургии, трансплантологии и гематологии в сопровождении матери 19 марта 2022 года в 9:45, спустя 60 минут от начала заболевания.
В 8:45 пациентка отметила остро развившуюся слабость в правых конечностях и внезапное нарушение речи (трудность в произношении определенных слов). Перенесенные заболевания отрицает. Сопутствующих заболеваний не было. Аллергологический и наследственный анамнез не отягощен. Операции не проводились. Черепно-мозговых травм не было, переливаний крови и ее компонентов не выполнялось. Менструальный цикл регулярный. Рост 175 см, вес 65 кг.
Данные осмотра дежурным неврологом в приемном отделении
Общее состояние пациентки средней степени тяжести. Кожные покровы и видимые слизистые обычной окраски. Периферические лимфоузлы не увеличены, подвижные, безболезненные. Зев не гиперемирован. Костно-суставная система без особенностей. Сердечные тоны ясные, ритмичные. Частота сердечных сокращений 76 ударов в минуту. Артериальное давление 112/82 мм рт. ст. Обе половины грудной клетки одинаково участвуют в акте дыхания, дыхание в легких везикулярное, хрипов нет. Частота дыхания 14 в минуту. Живот мягкий, безболезненный. Стул, диурез в норме.
Неврологический статус: в сознании, ориентирована в месте, времени и собственной личности, продуктивному контакту доступна, команды выполняет. Быстро истощается, плаксива. Речь: умеренная моторная афазия. Глазные щели равновеликие, зрачки D=S, реакция зрачков на свет сохранена, движения глазных яблок содружественные, нистагма нет. Легкий центральный парез VII пары ЧН справа, язык по средней линии. Глоточный рефлекс, рефлекс с мягкого неба вызывается. Чувствительность на лице не изменена.
Мышечная сила: правосторонняя гемиплегия. Мышечный тонус существенно не изменен. Глубокие рефлексы D>S, умеренной живости. Патологические рефлексы не определяются. Чувствительность не изменена.
Координаторные пробы: пальце-указательную пробу выполняет удовлетворительно левой рукой, правой не выполняет из-за плегии, коленно-пяточную пробу выполняет с легким интенционным дрожанием левой ногой, правой ногой не выполняет. В позе Ромберга не оценивалась. Менингеальные симптомы отрицательные. Шкала комы Глазго 15 баллов. NIHSS 11 баллов. Модифицированная шкала Рэнкина на момент осмотра — 4 балла.
Инструментальные исследования
Пациентке выполнены КТ головного мозга и КТ-ангиография.

На КТ ГМ: патологических объемных образований головного мозга не выявлено. Денситометрические показатели вещества головного мозга соответствуют нормальным величинам. Желудочки мозга, кортикальные борозды, базальные цистерны обычных размеров. Срединные структуры не смещены. Турецкое седло обычной формы, размеров.
Ретробульбарные пространства свободны. Признаков костно-травматических и костно-деструктивных изменений свода и основания черепа не выявлено. Ячейки пирамид и сосцевидных отростков височных костей воздушны, без особенностей. Пневматизация придаточных пазух носа на уровне сканирования не нарушена.
При выполнении КТ-ангиографии головного мозга выявлена окклюзия левой ВСА до М1-сегмента (см. рис. 1).
КТ органов грудной клетки: в легких очаговых и инфильтративных изменений не выявлено. Трахея, главные, долевые бронхи проходимы. Лимфоузлы средостения не увеличены. Синусы свободны. Костно-деструктивных изменений грудного отдела позвоночника и ребер не выявлено.
Лабораторно-диагностический мониторинг
Показатели общего анализа крови, коагулограммы находились в пределах нормы. В биохимическом анализе крови выявлено значимое отклонение от референсных значений лактатдегидрогеназы — повышение до 374 Ед/л (при норме 125–220 Ед/л).
Клинический диагноз
На основании жалоб, данных анамнеза, объективного осмотра, нейровизуализации выставлен клинический диагноз: криптогенный инфаркт мозга в правом каротидном бассейне с умеренными афатическими нарушениями и правосторонней гемиплегией; острый период.
Пациентке было предложено проведение внутрисосудистого тромболизиса. Согласие на проведение сложного медицинского вмешательство получено у законного представителя пациентки (матери).
Внутрисосудистый тромболизис и рентгенэндоваскулярное вмешательство
В 11:05 (через 140 минут после начала заболевания) начат внутривенный тромболизис (введение актилизе) в отделении анестезиологии и реанимации. Введено болюсно 6 мг актилизе. Патологических реакций, осложнений на введение препарата не отмечалось. Начато титрование 53 мг/ч внутривенно струйно.

Спустя 40 минут после начала тромболизисной терапии пациентка доставлена в ангиографический кабинет для проведения рентгенэндоваскулярного вмешательства.

В 12:15 под местной анестезией выполнена пункция передней стенки правой бедренной артерии.
Проведена диагностика: определялась окклюзия несколько дистальнее устья ВСА слева, коллатеральное заполнение сосудов левой гемисферы из правой ВСА и позвоночных артерий, локальная окклюзия ветвей первого порядка левой СМА после бифуркации (см. рис. 2 и 3).

Принято решение о реканализации ВСА, механической тромбэкстракции из СМА слева. По проводнику селективно в ВСА установлен интродьюсер направляющий катетер Destination F7 (см. рис. 4 и 5).

При контрольной ангиографии визуализировалось восстановление кровотока по СМА слева (см. рис. 6) (время реперфузии 13:33), mTICI 3. Катетеры извлечены, интродьюсер промыт, удален. Пункционное отверстие ушито системой ProGlide.

Оценка неврологического статуса через 2 часа
Пациентка после проведения комбинированной реперфузионной терапии в сознании. В контакт вступает, на вопросы отвечает по существу. Ориентирована в месте, времени и собственной личности. Легкая моторная афазия. Глазные щели равновеликие, зрачки D=S, РЗС прямая и содружественная, сохранена. Нистагма нет.
Конвергенция, аккомодация в норме. Сглажена правая носогубная складка. Язык по средней линии. Мышечная сила в норме. Мышечный тонус существенно не изменен. Глубокие рефлексы D>S, рефлекс Бабинского справа. Присаживается самостоятельно. Чувствительность не изменена. Координаторные пробы выполняет удовлетворительно. Менингеальные знаки отрицательные. Шкала комы Глазго 15 баллов. NIHSS 2 балла.
Пациентка переведена в неврологическое отделение (для инсультных больных) спустя 24 часа пребывания в отделении реанимации.
Углубленное обследование
В отделении проведен ряд клинико-диагностических обследований. На УЗИ органов брюшной полости видимая эхоструктурная патология не верифицирована, УЗИ вен нижних конечностей — данных о тромбозе глубоких и поверхностных вен ног не выявлено.
По заключению Эхо-КГ: аорта не расширена, стенки аорты не уплотнены. Аномальные хорды левого желудочка. Клапанный аппарат сердца без изменений. Расширений отделов сердца не выявлено. Нарушение локальной и глобальной сократительной функции ЛЖ не выявлено. Фракция выброса 65 %. Признаков легочной гипертензии не выявлено. По заключению холтеровского мониторирования: базовый ритм — синусовый, в дневное время зарегистрировано 16 эпизодов синусовой тахикардии, единичная желудочковая экстрасистола.
Проведена консультация врача-гематолога, назначено обследование для исключения тромбофилии, антифосфолипидного синдрома и приобретенной коагулопатии. Выполнены анализы: уровень гомоцистеина, скрининг антифосфолипидного синдрома, наследственные факторы тромбофилии, антитромбин III, протеин-С, протеин-S. Зарегистрировано незначительное увеличение АТ IgG к кардиолипину 20,2 СU (референтное значение 0–20 СU), остальные лабораторные исследования без отклонений от нормы. Данных за гематологическую патологию, наследственную тромбофилию и первичный антифосфолипидный синдром не выявлено.
Результаты лабораторных данных на онкомаркеры, маркеры аутоиммунных заболеваний (ANAscreen) без диагностически значимых отклонений от нормы.

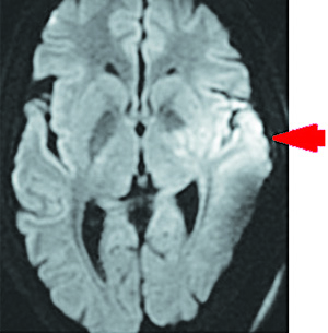
Результаты проведения МРТ головного мозга на 10-е сутки госпитализации (см. рис. 7 и 8). В области скорлупы и внутренней капсулы, в головке хвостатого ядра и паравентрикулярном белом веществе определяются сливные очаги гиперинтенсивного сигнала на Т2FLAIR и DWI, с умеренным ограничением диффузии на ADC, в бороздах мозжечка слева отмечается гиперинтенсивный сигнал на Т2FLAIR. Срединные структуры не смещены. Желудочки мозга не расширены. Субарахноидальные пространства конвекса не изменены. Признаков нарушения ликвородинамики не выявлено.

Базальные цистерны без особенностей. Селлярная область и основание черепа не изменены. Полость турецкого седла не расширена. Гипофиз обычных размеров и формы, контуры ровные, структура однородная. Дифференцировка на нейро- и аденогипофиз сохранена. Мосто-мозжечковые углы свободны, внутренние слуховые проходы не расширены, симметричны.
Краниовертебральный переход без особенностей. Миндалины мозжечка расположены обычно. На бесконтрастной ангиографии значимых деформаций, окклюзий артерий виллизиева круга не выявлено. В зону сканирования попадает стентированная часть левой ВСА с сохранным кровотоком.
Состояние на момент выписки
Пациентка была выписана на 16-е сутки с полной отстройкой неврологической симптоматики. Координаторные пробы выполняет удовлетворительно. Шкала комы Глазго 15 баллов. NIHSS 0 баллов, модифицированная шкала Рэнкина 0 баллов.
Заключительный диагноз: эмболический инфаркт мозга в левом каротидном бассейне артерий (19.03.2022) на фоне спонтанной диссекции левой ВСА. Умеренная моторная афазия, правосторонняя гемиплегия. Острый период. Комбинированное лечение (19.03.2022): системная ТЛТ при окклюзии ветвей левой СМА, механическая тромбэкстракция из левой СМА, стентирование левой ВСА.
Выводы
Современные высокотехнологичные методы реперфузионной терапии при качественной комплексной работе неврологов, эндоваскулярных хирургов, радиологов и реаниматологов позволяют говорить не просто о сохранении жизни пациентов с инсультом, но и о полном восстановлении нарушенных функций.
В настоящее время метод тромболитической терапии зарекомендовал себя как высокоэффективная помощь с благоприятным функциональным исходом при грамотной оценке клинико-патогенетических особенностей заболевания, выявлении предикторов геморрагических осложнений.
Необходимость активного внедрения данного метода в рутинную практику неврологических отделений будет способствовать решению важнейших социально-экономических вопросов: снижению показателей смертности населения, временных трудовых потерь и первичной инвалидности.
Источник: medvestnik.by
Comments are closed.