Надо ли удалять «восьмерки»? Как принять обоснованное решение

Фото носит иллюстративный характер. Из открытых источников.
Вопрос обоснованности удаления зачатков третьих моляров (так называемых «восьмерок», или зубов мудрости) у детей, подростков, взрослых людей является весьма актуальным в стоматологической практике. Эта тема обсуждалась и на прошедшем недавно 10-м Белорусском международном стоматологическом конгрессе.
Полемичный вопрос
Участники мероприятия отмечали, что в последние годы в республике сохраняется следующая тенденция: врачи стоматологи-терапевты и ортодонты массово направляют подростков на раннее удаление «восьмерок», в т. ч. детей с зачатками этих зубов, когда требуются сложные вмешательства под общим наркозом. В итоге в хирургических отделениях, а также отделениях челюстно-лицевой хирургии возникают очереди, которые растянулись на год, но не это главное. Основная проблема в том, что далеко не каждое направление на удаление является обоснованным, с учетом показаний и противопоказаний, рисков, пользы и возможного вреда для пациента. Об этом на заседании секции «Инновации в стоматологии» сообщила профессор кафедры периодонтологии БГМУ, доктор мед. наук, профессор, врач-ортодонт высшей категории Юлия Денисова.
Специалист рассказала, что в этом году проблема широко обсуждалась на республиканских совещаниях, с привлечением практикующих врачей и ученых в сфере стоматологии. В итоге было сформулировано общее мнение стоматологической общественности, которое на заседании секции «Инновации в стоматологии» представил заведующий кафедрой ортопедической стоматологии и ортодонтии БГМУ, кандидат мед. наук, доцент Яков Тимчук.
Стадии формирования третьих моляров
Свое выступление Яков Тимчук начал с экскурса в историю. Специалист напомнил, что в прошлом веке для исправления прикуса и других ортодонтических проблем использовались межпетлевые дуги. С середины 1990-х годов в республике стали применять брекет-системы, сначала активные, а с начала 2000-х — самолигирующие.

Яков Тимчук:
В то время ортодонты при сильной скученности зубов часто удаляли первые премоляры (т. е. «четверки»), далее перемещали другие зубы на место удаленных, и тогда вопрос с «восьмерками» не стоял так остро, как сейчас.
В начале 2000-х появились и вошли в нашу практику такие ортодонтические конструкции, как минивинты и элайнеры. Все больше ортодонтов стали придерживаться стратегии исправления зубочелюстных аномалий без удаления «четверок». Но при различных нарушениях формирования челюстей, большой скученности зубов, дефиците места в зубных рядах возникает вопрос об удалении зачатков «восьмерок».
Специалист рассказал о стадиях формирования 8-х зубов, которые всегда следует учитывать при принятии решения об их удалении (см. рис. 1.): А — зачаток зуба, кальцификации нет, В — начальная кальцификация бугров, С — кальцификация бугров, D — начало кальцификации коронки, Е — полная кальцификация коронки, F — начало формирования корней, G — полное формирование корней, H — закрытие верхушечных отверстий корней.
Рисунок 1. Стадии формирования 8-х зубов по данным ортопантомографии.
Яков Тимчук:
Опытные хирурги, видя пациентов, направленных к ним на удаление зачатков третьих маляров, как правило, рекомендуют подождать, пока не начнут формироваться корни. То есть на момент удаления нужно, чтобы зуб был как минимум на стадии F, не ранее. У большинства людей это происходит в 14–15 лет. Пациентам до 15 лет удалять «восьмерки» не следует! Запомните это, пожалуйста.
Показания к удалению «восьмерок»
— Специалисты, которые работают с техникой многопетлевых дуг, утверждают, что с их помощью можно отодвинуть, т. е. дистализировать межбоковые сегменты на место удаленных «восьмерок». И это действительно так, — отметил Яков Тимчук.
Удаление аномально расположенных 8-х зубов в возрасте не ранее 15 лет.
Противопоказания к удалению «восьмерок»
— В подобных случаях устранение скученности проводится не за счет дистализации моляров, а путем сепарации апроксимальных поверхностей резцов и клыков и расширения зубных дуг, — пояснил Яков Тимчук.
Случаи из клинической практики
В ходе своего выступления Яков Тимчук представил снимки пациентов из клинической практики с различным расположением зачатков «восьмерок», требующих разной врачебной тактики.
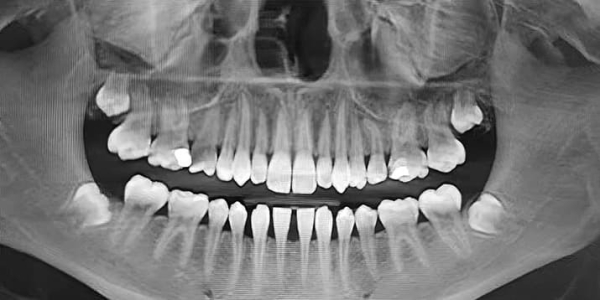
— На ортопантомограмме (см. рис. 2) видно, что зачатки третьих премоляров заложены глубоко, зачатки зубов 1.8 и 2.8 расположены близко к верхнечелюстным пазухам, 4.8 — к нижнечелюстному каналу. Чтобы удалить такие зубы, требуется весьма сложное травматичное вмешательство, как правило, под общим наркозом. При этом показаний для удаления нет, — прокомментировал Яков Тимчук.
Рисунок 2. Ортопантомограмма 15-летнего пациента с глубоко заложенными зачатками 8-х зубов.
— Вот еще один пациент (см. рис. 3) с верхними «восьмерками», залегающими очень близко к верхнечелюстным пазухам, что несет большие риски при удалении. Иногда на удаление направляют пациентов с начинающими прорезываться «восьмерками», при этом показания к удалению отсутствуют, т. е. третьи моляры не препятствуют дистализации (см. рис. 4).
Рисунок 3. Ортопантомограмма 15-летнего пациента с глубоко заложенными зачатками 8-х зубов.
Рисунок 4. Ортопантомограмма пациентки 15 лет. Показаний к удалению «восьмерок» нет.
В профилактических целях «восьмерки» не удаляют!
Специалист подчеркнул, что стоматологам-ортопедам и ортодонтам нужно рассматривать каждого пациента дифференцированно, перед тем, как направить на удаление, следует выполнить конусно-лучевую компьютерную томограмму (КЛКТ), оценить наличие показаний и противопоказаний.
— Конусно-лучевая компьютерная томография сейчас является доступным исследованием, при этом очень информативным, — отметил Яков Тимчук. — И если, например, перед вами пациент, у которого уже долго не прорезываются 7-е зубы или одна из «семерок» не прорезывается, в то время как другие все давно на месте, то иногда причиной может быть расположенная рядом «восьмерка» (см. рис. 5, 5а). В таком случае действительно ее следует удалить. Причиной, конечно же, может быть то, что у пациента нет зачатка седьмого зуба, тогда мы тоже увидим это на снимке.
Рисунки 5, 5а. КЛКТ пациента с показанием для удаления зуба 3.8, так как он не дает прорезаться зубу 3.7.
Нередко на консультацию родители приводят подростков на этапе ортодонтического лечения с различными спорными ситуациями. Яков Тимчук продемонстрировал один из таких случаев (см. рис. 6). Пациентка (14 лет) проходит ортодонтическое лечение по месту жительства в связи с отсутствием зачатков верхних боковых резцов. Брекетами создается место для их последующей имплантации. Лечение продолжается уже более года. Мама пациентки обратилась с вопросом: возможно, удаление зачатков верхних «восьмерок» ускорит ортодонтическое лечение? По мнению специалиста, такая тактика не будет целесообразной.
Рисунок 6. Пациентка с отсутствием зачатков верхних боковых резцов на этапе ортодонтического лечения.
Поздняя скученность зубов
В стоматологической практике нередко встречаются пациенты, у которых именно после прорезывания третьих моляров начинаются проблемы со скученностью зубов, они рассказывают, что «раньше передние зубы были ровными, а как только полезли зубы мудрости, то передние искривились». Задают вопрос: если удалить «восьмерки», то выправятся ли передние зубы сами без необходимости ношения брекетов или пластинок?
— На сегодняшний день нет научного подтверждения, что именно прорезывание третьих моляров становится причиной скученности фронтальных зубов, этот вопрос остается дискутабельным, — сообщил Яков Тимчук. — Если посмотрим двух пациентов одного и того же возраста, у которых в одно и то же время начали прорезываться «восьмерки», то у одного это может привести к скученности, у другого совсем никак не отразится на фронтальных зубах.
Бывают пациенты со скученностью, у которых «восьмерки» даже не прорезались, имеются лишь зачатки на ранних стадиях или вовсе нет зачатков. Если же скученность уже возникла, то после удаления «восьмерок», разумеется, фронтальные зубы сами не поменяют свое расположение, необходимо ортодонтическое лечение.
Причины поздней скученности:
Специалист привел выводы из международных научных исследований на тему, являются ли третьи моляры причиной рецидива скученности нижних фронтальных зубов:
Эти утверждения еще раз подчеркивают, что удалять третьи моляры «в профилактических целях» не следует. Яков Тимчук также прокомментировал утверждение о том, что «восьмерки» могут пригодиться в случаях, когда по различным причинам пациент теряет 6-й или 7-й зуб.
— Здесь я согласен с ортопедами, действительно, во многих случаях третьи моляры можно использовать как замену удаленным первым и вторым молярам, — высказал свое мнение специалист и продемонстрировал ортопантомограмму пациента с таким клиническим случаем (см. рис. 7).
Рисунок 7. Оставшийся корень 6-го зуба подлежит удалению. В дальнейшем можно переместить 7-й и 8-й зубы мезиально и закрыть промежуток.
Сверхкомплектные зубы
В заключение своего выступления эксперт продемонстрировал необычный клинический случай маленькой пациентки из Гродно (см. рис. 8). Родители восьмилетней девочки пришли на консультацию в Университетскую стоматологическую клинику с жалобой на то, что у нее долго не прорезываются передние зубы. Была направлена на консультацию с ортопантомограммой, что соответствует клиническим протоколам. Однако бывают случаи, когда пациентам даже в таком возрасте необходимо выполнить КЛКТ для детального анализа клинической ситуации, что и было сделано.
Рисунок 8. По результатам КЛКТ у 8-летней девочки обнаружили 8 сверхкомплектных зубов.
— По результатам ортопантомограммы было видно, что боковые резцы 1.2 и 2.2 расположены вестибулярно, а чуть прорезавшиеся 1.1 и 2.1 — сверхкомплектные, — рассказал Яков Тимчук. — После КЛКТ обнаружилось еще два сверхкомплектных в области 1.1. и 2.1. Кроме того, было еще 4 сверхкомплектных зуба в области премоляров. То есть в итоге у ребенка 8 (!) сверхкомплектных зубов. Вот насколько важно провести диагностику вовремя. Специалисты нескольких кафедр подключились к решению проблемы этой пациентки, в настоящее время ей предстоит оперативное лечение в 4-й ГДКБ.
Яков Тимчук сообщил, что каждую пятницу в лекционном зале Университетской стоматологической клиники (по ул. Сухая, 28) проводятся получасовые конференции-совещания с участием ректора БГМУ, члена-корреспондента НАН Беларуси, доктора мед. наук, профессора Сергея Рубниковича. Представляются и обсуждаются сложные клинические случаи по ортопедической и ортодонтической стоматологии. В конференциях могут участвовать как практикующие врачи, так и студенты, будущие стоматологи.
Источник: medvestnik.by
Comments are closed.