Гастроинтестинальные стромальные опухоли: взгляд рентгенолога

Фото носит иллюстративный характер. Из открытых источников.
Гастроинтестинальные стромальные опухоли (ГИСО, GIST) — наиболее часто встречаемые неэпителиальные (мезенхимальные) опухоли желудочно-кишечного тракта (80 %), исходящие из интерстициальных клеток-пейсмекеров (Кахаля), которые отвечают за перистальтику ЖКТ. Чаще поражается желудок, тонкая кишка, реже — толстая и прямая кишки, пищевод. Для опухоли характерны мутации в генах KIT и PDGFRA, отсутствие генетических изменений при «диком типе» (WT), экспрессия маркера C-KIT (CD117).
Эпидемиология
Обычно ГИСО возникают после 40 лет, чаще всего наблюдаются у пожилых пациентов (средний возраст 60–65 лет).
Количество выявленных ГИСО в Беларуси:
Подавляющее большинство ГИСО являются спорадическими. Тем не менее примерно 5–10 % встречается при следующих синдромах, обычно как ГИСО с дефицитом SDH:
Частота встречаемости злокачественных новообразований желудка
Частота встречаемости злокачественных ГИСО желудка
Клиническая картина
Отмечается вариабельность клинических проявлений:
Патология
ГИСО, как правило, являются подслизистыми опухолями, а покрывающая их слизистая оболочка часто остается интактной при визуальной оценке. Риск прогрессирования заболевания зависит от митотической активности, размера и анатомических особенностей. Критерии размера делятся на четыре категории:
1) ≤2 см,
2) >2 см до ≤5 см,
3) >5 см до ≤10 см,
4) >10 см.
Первичный очаг и метастазы

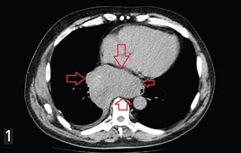
Рисунок 1. ГИСО нижней трети пищевода.ГИСО возникают в любом месте ЖКТ. Общие первичные очаги включают:
Кроме того, известно, что экстрагастральные ГИСО возникают в брыжейке, сальнике, забрюшинном пространстве и чаще всего являются метастазами.
При метастазировании ГИСО наиболее часто поражаются:
Лимфогенное метастазирование не характерно (не более 7 %), легкие и кости поражаются крайне редко.
Формы роста опухоли

Рисунок 2. Эндоорганная форма. ГИСО антрального отдела желудка.При эндоорганной форме опухоль растет в просвет органа ЖКТ, например, в просвет желудка. Такая опухоль часто осложняется изъязвлением слизистой оболочки, поэтому манифестирует в основном желудочно-кишечным кровотечением. Наиболее узнаваемый и характерный признак для этой формы роста и в целом для мезенхимальных опухолей ЖКТ — «округлой формы дефект наполнения с язвенной нишей» (см. рис. 2).

Рисунок 3. Экзоорганная форма. ГИСО 12-перстной кишки с инвазией в головку поджелудочной железы, мета- стазами в регионарных лимфоузлах, микрометастазами в большой сальник.При экзоорганной форме роста опухоль исходит из стенки органа ЖКТ, но растет в брюшную полость (см. рис. 3).
Диагностика
Рентгеноскопия. При исследовании верхних отделов брюшной полости можно увидеть дефект наполнения, выступающий из стенки желудка, с расположенными поверх него изъязвлениями. Края опухоли обычно выглядят гладкими и могут образовывать прямые или тупые углы с прилегающей слизистой оболочкой из-за ее интрамурального происхождения.
Рентгенологически трудно отличить доброкачественную ГИСО от злокачественной. Диагноз злокачественной ГИСО требует гистологического анализа, но некоторые характеристики указывают на злокачественность, в частности:

Рисунок 4, 4а. ГИСО тела желудка с инвазией в хвост поджелудочной железы, селезенку, левый надпочечник, мезоколон с метастазом в S5–6 печени.Компьютерная томография органов брюшной полости, малого таза с внутривенным контрастированием является стандартным методом оценки распространенности опухолевого процесса. Обнаруживаются следующие типы опухолей:
Контрастирование обычно гетерогенное, периферическое (из-за центрального некроза), кальциноз встречается редко (3 %).
Магнитно-резонансная томография. Наличие некрозов, геморрагических и кистозных изменений делает внешний вид опухолевого процесса изменчивым.
Т1: солидный компонент низкой интенсивности сигнала, усиление обычно присутствует и преимущественно периферическое при более крупных поражениях.
T2: кистозный компонент высокой интенсивности сигнала.
МРТ применяется при подозрении на ГИСО прямой кишки, а также как уточняющий метод при определении объема поражения печени.
Ядерная медицина. ГИСО являются FDG-зависимыми опухолями, ПЭТ-КТ с F-18 FDG можно использовать для начальной стадии и оценки ответа на лечение. Области центрального некроза могут быть FDG-негативными на ПЭТ-КТ (т. е. иметь низкое или отсутствующее поглощение индикатора).

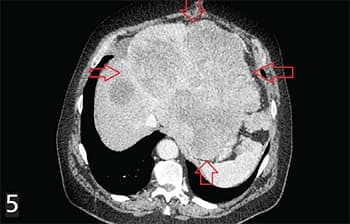
Рисунок 5. ГИСО верхней трети желудка. Состояние после секторальной резекции желудка. Прогрессирование: многоузловой опухолевый конгломерат с поражением печени, стенок желудка, 12-перстной кишки, левой ножки диафрагмы, брыжейки, сосудов с метастазами по брюшине, метастазами в мягких тканях передней брюшной стенки.В связи с этим рентгенологическое заключение и максимальное приближение к морфологической оценке на дооперационном этапе имеет большое значение в определении тактики ведения и лечения пациента.

Рисунок 5а. Тот же пациент, состояние после курсов МХТ иматинибом с положительной динамикой за счет редукции всех опухолевых очагов.Но, с другой стороны, для ГИСО отсутствуют какие-либо патогномоничные признаки, зачастую ее практически невозможно отличить от ряда других новообразований, таких как лейомиома ЖКТ, желудочно-кишечные лейомиосаркомы или лимфомы.
⠀
На какие вопросы необходимо ответить рентгенологу?
Для того чтобы хирург (клиницист) мог получить всю необходимую ему информацию, рентгенологу нужно ответить на ряд вопросов в своем заключении:
Лечение и прогноз
Хирургическая резекция единым блоком является основным методом лечения ГИСО. При метастатической форме применяется таргетная терапия (иматиниб).
Химиотерапия иматинибом эффективна в большинстве случаев и оказала существенное влияние на прогноз даже при лечении в течение одного года, снижая частоту рецидивов через год с 17 % до 3 %. Другие препараты второй линии (например, сунитиниб) также изучаются и используются у пациентов с резистентными к иматинибу опухолями.
Триада Карнея
Это редкий, ненаследственный синдром, характеризующийся сочетанием множественных опухолей в нескольких органах: ГИСО желудка, хондромы или гамартохондромы легкого и экстраадреналовой параганглиомы.
В основе патогенеза лежит недостаточность сукцинатдегидрогеназы в стволовых клетках.
Триаду Карнея следует отличать от наследственного синдрома Карнея — Стратакиса, для которого характерно сочетание ГИСО и параганглиомы (не сопровождается появлением хондромы легкого).
Заболевают преимущественно молодые женщины (в среднем до 30 лет). Строгого хронологического порядка появления образований не существует, поэтому наличие сочетаний двух из трех описанных опухолей принято расценивать как проявление триады Карнея.
⠀
Диагностика
▶️ ГИСО желудка (99 %): в отличие от спорадических ГИСО отсутствуют мутации KIT и PDGFRA; CD117 позитивны; мультицентричный рост; плохой ответ на таргетную терапию (иматиниб).
▶️ Хондрома легкого (80 %): множественное одностороннее поражение; протекает бессимптомно, редко с кровохарканьем и болями; наличие кальцинации; имеются случаи малигнизации хондромы.
▶️ Экстраадреналовая параганглиома (50 %): часто исходит из парааортального параганглия; функционирующие, с избыточной продукцией катехоламинов; возможны инвазивный рост, метастазирование.
Нефункционирующая адренокортикальная аденома не противоречит установке синдрома.
Прогноз у пациентов с триадой Карнея, как правило, благополучный. При радикальном хирургическом лечении 40-летняя выживаемость составляет 73 %.

Евгений Кардис, Татьяна Хамадуллина, Юлия Церковская, Сергей Баранов, врачи-рентгенологи рентгеновского отделения РНПЦ онкологии и медрадиологии имени Н. Н. Александрова.
Источник: medvestnik.by
Comments are closed.